
I do not watch sitcoms. Hence, when I picked up A Heart That Works, I had no clue who Rob Delaney was. He is a standup comic and the co-writer and star of the British/Amazon comedy series Catastrophe (2015 to 2019.) He is also the author of this sweet, sad, heartfelt memoir of his son’s death from a brain tumor in 2018.

Delaney describes how doctors figured out that one-year-old Henry’s vomiting was due to a brain tumor; how emergency surgery relieved pressure on his brain; the thirteen-hour definitive tumor-removal procedure; treatments for his cancer; and the terrible side-effects of those treatments. Henry spent the next year and a half in hospitals.
For example, Henry’s tumor nestled in the part of the brain that controlled swallowing and breathing. Surgery damaged those functions. Until his death, Henry breathed and received nourishment through tubes. Delaney, his wife Leah, their parents, and even Henry’s brothers, learned the “trach care,” that Henry needed to live.
You’re probably wondering why would you – indeed, why would I? – want to read this soul-crushing story. After all, from the start we learn that Henry dies before he turns three.
Well, the book opens with a quote by Juliana Hatfield: “A heart that hurts is a heart that works.” Being reminded that our own heart works is a rewarding human experience. While reading this book, I often felt my heart give that squeeze of bittersweet memory. At the same time, Delaney brings his comedian’s sensibility and pacing to the narrative. You cry and you laugh.
Delaney states that he feels compelled to make others understand what he feels. Yet, he knows that you can’t, because “You forget that my son died. Then you remember. Then you forget again … I don’t forget.”
He is right. I can’t really put myself in his place. I don’t want to, even as a thought experiment. I have to look away. But Delaney’s writing is so vivid and fierce that it evokes times in my life when I experienced similar emotions.

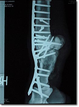
My child has not undergone brain surgery – not even close, Delaney would be the first to remind me – but I can tap into his and Leah’s anxiety during the procedure. In 2007, we found out that my son Alex needed a second surgery for his broken ankle. This time, the orthopedist would insert nails. I had visions of the x-rays of what they did to the racehorse Barbaro’s broken leg.
Alex was studying Occupational Therapy at Boston University. April in Boston was cold and bleak. I crashed on an air mattress in his room. He and his four roommates (well, three roommates and a couch-surfing guest) shared one bathroom.
“You didn’t have to come, Mom,” Alex told me. “I know,” I said.
But I am glad I did. I watched him clomp to and from the third-floor apartment on crutches without complaint. He showered standing on one leg, until I Amazoned him a campstool. He rode public transit to class. I met his girlfriend Ariel, now his wife of over a decade. She won my heart by bringing me a Sunday New York Times.
Most often, A Heart That Works took me back to when Bill and I cared for my dad and my mom in our home for their final three years.

Dad had been shouldering the household chores as mom’s dementia progressed. Then, in 2008, he suffered a severe stroke that weakened his right side and garbled his speech. Like Henry, Dad received physical therapy, occupational therapy and speech therapy. And like Henry, Dad worked really hard at rehab. Both Delaney and I were proud and humbled by their embrace of exercises to improve function.
Delaney talks about a language program called Makaton that uses signs, symbols and speech to help people with communication problems. Henry mastered it. Right away, I wondered if it could have helped Dad. It killed me that the man who graduated first in his medical school class couldn’t communicate whether or not he needed to go to the bathroom.

Bill would ask him if he wanted to go. He’d nod, but not move to get up. Bill would ask again. He’d shake his head, but then start to get up. We’d then scramble help him into his transport chair and rush him to the bathroom.
I totally connected to Delaney’s description of Henry’s medical equipment. After Dad died in 2011, his equipment took up most of one room: his hospital bed, walker, cane, transport chair, wheelchair, bedside commode, and oxygen concentrator. Dearest to me was his leg brace. It reminded me of a polio brace: support and shackle at the same time. It’s still in my closet.
Delaney and Leah carved out time for weekly “dates.” Bill and I weren’t so organized. But the times we did get away, thanks to caregivers, sparkle in my memory. We marveled at the hundred shades of spring green along the windy trails of Malcolm Terrace Park. It felt luxurious to share a white wine at the Sheraton at Westport Plaza. We attended the Symphony. We played nine holes of golf.
In the end, Henry’s tumor returned, and my dad suffered a fatal stroke. They died. And as Delaney reminds us – at times philosophically, and at other times, ragefully – so will we all.
As hard work as it was for Bill and me to cook Shanghai food, check blood sugars and dose insulin, handle basic hygiene, see to dental, vision and hearing needs, carry on chores of daily life, and train and handle payroll for helpers, having a parent die is vastly different than seeing your child die. I know this.
But A Heart That Works does not end on that note. It ends with gratitude. Delaney is grateful that he is not a single parent; that he and Leah are educated; that he is in good financial circumstance; that he didn’t have to deal with health insurance because England’s National Health Service picked up the tab.
Bill and I were thankful too. It was a good thing that we were doctors. We were happy for our health as sixty-somethings. We had cut back to part-time jobs before the stroke. We had financial resources.
Most of all, Delaney is grateful to all the people who helped and loved Henry. And who Henry loved. On the top of that list is family – his and Leah’s parents; Henry’s two older brothers; and most especially, his wife Leah. The book is dedicated “For Henry’s mommy.”
The people whom I’d like to thank are, as we say in medical parlance, “tntc.” (Too numerous to count.) My colleague Liza and writing pal Sue came over and kept the parents company to give Bill and me some time off. Caroline, a volunteer with Mercy Hospice, took Mom to Mass. Julie Yuan dropped off pots of Chinese soups. Jay sat on us until we agreed to hire caregivers. (She was right, of course.) Cousin-in-law Bridget helped with difficult decision-making. Cousin Fran cheerfully did home PT with dad, and hooked us up with competent caregivers.
And, most especially, I want to thank Bill.

Tell me: What are your bittersweet memories?

4 replies on “Bittersweet”
Thank you. ❤️
LikeLike
Dear Cathy,
Your parents were fortunate to have you and Bill. Your caring for them made their final life journey peaceful and graceful, and full of love.
LikeLiked by 1 person
[…] microwave. We read, watched TV, checked the Weather Channel app. I started writing a new essay on Rob Delaney’s A Heart that Works. To quote Arthur Less: “Boredom is essential for writers; it is the only time they get to […]
LikeLike
My most bittersweet memories are yet to come. This essay reminds me that life requires courage.
LikeLiked by 1 person